Welcome to Sewell Dental Designs
the Office of Fred C. Haddad, DMD, FAGD, MAGD
We are happy to welcome patients from all over Gloucester County to our office in Sewell, New Jersey. You have found a unique medical center, one that is not focused on volume but that is focused on your experience while in our quality dental office, and your dental health. It’s not hard to keep our office warm, friendly and fun when a practice cares about patients dental health as much as we do.
The vision and purpose statement below describes how we are motivated to be a top dentist who educate their patients so their teeth are always healthy. But we also love giving our patients more beautiful smiles and are ready to help them with a wide variety of dental care and treatment plan such as Invisalign treatment. Invisalign works by using a series of Invisalign clear aligners. The iTero is one of our digital scanning machines that will take a 3D digital scan of your teeth in which we will use to create your acrylic clear trays. Invisalign cost varies. Set up your free consultation today!
What Patients Are Saying About Us
"Dr Haddad was an amazing surgeon. Everything that he said he was gonna do was right on point. He is a phenomenal dentist. Very right to the point. And his two assistants were also very good; they had to help in my surgery and were really professional at what they do. When i left Dr Haddad s office i was amazed at the beautiful teeth that i now have. Thank you so much from me to you and your associates for a wonderful experience. I shopped around for what i wanted to have done which was a whole new set of teeth and after visiting Dr Haddad’s office i knew they were the ones that i wanted to work on my new set of teeth. And let me tell you they were awesome. Thanks again for a fabulous set of teeth. Truly a great experience."
- Richard W.
★★★★★
Our Services at Sewell Dental Designs
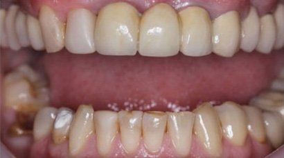
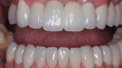
See How Our Patients Smile Now
See More Changed Smiles in Our GalleryAt Sewell Dental Designs, we are committed to providing personalized care and utilizing advanced dental technology to ensure your dental health and satisfaction. Our passion for excellence extends to everything we do, including offering a free Invisalign consultation to help you achieve a more attractive, healthier smile. Contact us today to schedule your appointment and take the first step towards a brighter future.
Welcome to Our Office: Where Comfort Meets Care
Make an Appointment
Home





















